幽门螺杆菌怎么查?聊聊免疫组化这种“显微镜下的侦探术”

时间:2025-06-04 浏览量:5243 来源:自贡市第四人民医院 作者:周军

你是否听说过“幽门螺杆菌”(简称HP)?它是一种生活在胃里的细菌,被认为与胃炎、胃溃疡,甚至胃癌有关。检测HP的方法有很多种,比如吹气试验、粪便检查、胃镜活检等。但你知道吗?在做胃镜时取的组织,除了常规的染色,还可以用一种叫“免疫组化”的技术来找这个“隐形杀手”。不过,有些人不适合做吹气试验,比如刚用过抗生素、胃药,或是老年人、做过胃部手术的人,结果可能不准确。而粪便检查有时病人不方便取样。这个时候,如果正好做了胃镜活检的检查,医生就可能建议用免疫组化(IHC)这种技术来检测HP。

那什么是免疫组化呢?通俗来说,它就像是给HP戴上特制的“显色标签”,让医生在显微镜下能一眼看出它的存在。当组织里有HP时,它会被抗体“标记”,显微镜下就能看到一个个深褐色的小杆菌,躲也躲不掉。当然以前也有其他方法在病理切片上寻找HP,比如HE染色或Warthin-Starry银染,看起来不够清楚,特别是在HP数量很少、位置不典型,或者做过治疗后菌量减少的情况下。这时,免疫组化就显出优势——灵敏度高、特异性强,能够更准确地告诉医生:“这里有菌”还是“真的没有了”。

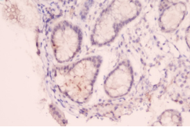
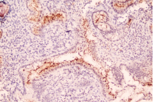
病理医生在显微镜下是怎么判断HP的感染程度呢?一般通过着色出的HP的多少进行定性评价,分为阴性(HP-, 1+, 2+,3+),如下图所示:

1. 显微镜下无HP显色。(HP-)

2. 显微镜下有少量散在的HP呈小杆状着色,染成棕色。(HP:1+)

3:显微镜下较多HP染成棕色,呈断续的线状。(HP:2+)

3. 显微镜下HP着色非常明显,呈连续的线状。(HP:3+)

免疫组化是一种精准、安全、适用于多种情况的HP检测方法。特别是对某些不适合吹气试验或结果不明确的病人,它就是显微镜下的“侦探”,帮你看清胃里的真相。

急救电话:0813-120  预约挂号电话:0813-2401126、0813-2401026 投诉电话:2300337
联系电话(传真):0813-2201981  电子邮箱:zg_120@126.com 咨询电话:0813-2102560

南湖总院:四川省自贡市自流井区紫薇路1331号  檀木林院区:四川省自贡市自流井区檀木林街19号 汇东院区:四川省自贡市自流井区丹桂大街400号
办公时间:上午8:00-12:00,下午14:30-17:30(周一至周五,节假日除外)

蜀ICP备13006683号-1Copyright © 2002-2026 四川省自贡市第四人民医院 自贡市急救中心 四川卫生康复职业学院附属医院 All Rights Reserved