老人摔倒莫大意,警惕“慢性硬膜下血肿”

时间:2024-09-25 浏览量:3441 来源:自贡市第四人民医院 作者:张明辉

若家中老人不小心摔倒,并在一两个月后逐渐出现头昏、反应迟钝,甚至一侧肢体乏力,警惕颅内慢性硬膜下血肿形成。

一、什么是慢性硬膜下血肿

慢性硬膜下血肿是颅内硬膜下腔(硬脑膜与蛛网膜之间的腔隙)的陈旧性血肿,多见于老年人,常在头部创伤3周以后形成。

二、发病原因

慢性硬膜下血肿多由于头部创伤导致,创伤可为头部摔伤,或者轻微的头部碰撞,甚至不经意的剧烈头部摇晃,这些原因都会导致脑表面的桥静脉撕裂,导致硬膜下出血。这些颅内出血由于炎症的原因,难以自行吸收,并且会持续增多,最终大概在创伤3周以后演化为典型的慢性硬膜下血肿。

三、临床表现

慢性硬膜下血肿起病隐匿,进展缓解,早期症状不明显,甚至无症状,仅为轻度头昏、头痛,往往不够重视。

后期随着颅内出血量增多,对脑组织挤压加重,逐渐出现典型的临床表现:

①头痛、头昏、精神差、饮食差;

②反应迟钝、记忆力减退、痴呆、淡漠、一侧肢体无力;

③严重者出现昏迷、偏瘫等。

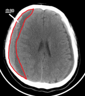
四、检查

如老人有头部外伤史,并且出现了以上临床表现,行头部CT检查即可作出诊断。

五、如何治疗

慢性硬膜下血肿目前有三种治疗方式:

①药物治疗:适用于出血量较少,临床症状轻微的病人,主要药物是阿托伐他汀钙和地塞米松,治疗时间常需1-2个月,部分病人药物失败需行手术治疗;

②手术治疗:出血量多,有神经功能障碍的应首选手术治疗,常常采用钻孔引流的手术方式,即在颅骨上钻一个小洞,使颅内的积血排出,并放置一根软管入颅内,留置1-3天使残留的积血持续排出。手术效果往往立竿见影,术后患者精神状态好转,思维变得清晰,乏力的肢体力量得到恢复等。但部分病人可能存在复发的可能,需定期复查;

③介入治疗:也是一种手术,是一种微创手术,这种手术不在头部动刀,而是通过人体的血管进行治疗,我们将在大腿根部穿刺股动脉,通过人体血管将导管输送到头部血管,栓塞病变的血管,从而促进颅内的血肿吸收。适用于不能耐受全麻手术,或不愿意做钻孔手术,或存在钻孔手术禁忌,或血肿反复复发等病人。

六、如何预防

老年人平时生活中,应注意“慢”的重要性,应避免剧烈的活动,避免摔伤受伤,受伤后要及时做头部CT检查,并且伤后1月左右都应复查头部CT,早发现、早诊断、早治疗,避免出现严重的后果。

急救电话:0813-120  预约挂号电话:0813-2401126、0813-2401026 投诉电话:2300337
联系电话(传真):0813-2201981  电子邮箱:zg_120@126.com 咨询电话:0813-2102560

南湖总院:四川省自贡市自流井区紫薇路1331号  檀木林院区:四川省自贡市自流井区檀木林街19号 汇东院区:四川省自贡市自流井区丹桂大街400号
办公时间:上午8:00-12:00,下午14:30-17:30(周一至周五,节假日除外)

蜀ICP备13006683号-1Copyright © 2002-2026 四川省自贡市第四人民医院 自贡市急救中心 四川卫生康复职业学院附属医院 All Rights Reserved