多位名人因它去世,这类癌症我们如何有效早筛?

时间:2023-11-16 浏览量:3897 来源: 作者:周正端

胰腺癌被称为“癌中之王”,知名专家吴尊友便在近期因此病去世。此外,苹果之父乔布斯、著名男高音帕瓦罗蒂、香港女演员沈殿霞等多位名人,此前也因罹患胰腺癌离世。今天是2023年的“世界胰腺癌日”,本期文章,我们就向大家科普胰腺癌以及胰腺癌的一个早筛手段——超声内镜。 

什么是胰腺癌? 

胰腺癌是指发生于胰腺的恶性肿瘤,由于其恶性程度高、易转移、治疗效果差,被称为“癌中之王”。因此,胰腺癌的早发现、早治疗就显得至关重要。

然而,罹患胰腺癌的早期症状不明显,很多患者即便感到腹部不适或出现其他症状,也常被误以为是患上胃肠炎症。加之胰腺位置深、体积小,胃肠等脏器在胰腺前方遮挡,且易受到胃肠积气干扰,常规体检中常用的体表超声检查难以提供明显明确的诊断。

胰腺癌易患人群 

胰腺癌病因尚未完全明确。目前研究提示,胰腺癌可能与非遗传相关性胰腺癌危险因素(包括肥胖、吸烟、3年内新发糖尿病、多次不明原因胰腺炎、慢性胰腺炎、胆结石史、幼年时期被动吸烟等)有关。遗传相关性胰腺癌的风险包括由于基因缺陷而引起的病变(如遗传性非息肉病性结肠癌,家族性非典型性多发性痣样黑素瘤综合征等)、因基因缺陷导致的遗传性胰腺炎和因基因缺陷造成的家族性胰腺癌等。上述人群的筛查应始于40岁或者早于家族胰腺癌患者诊断时年龄10年之前。

胰腺癌的诊断手段

目前,胰腺癌的筛查手段主要为影像学、肿瘤标志物和基因检测。其中,影像学检查包括体表超声、CT、MRI、MRCP、超声内镜(EUS)等传统影像手段。其中,超声内镜(EUS)因快速、创伤小、易耐受等优点,成为当前胰腺癌的最佳诊断方法。

图片3图片2

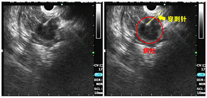
超声内镜是指将内镜镜身前端与超声探头结合运用,对消化道和邻近器官进行近距离的扫描,实时传回高分辨率的超声图像。相比于传统的内窥镜检查及体表超声检查,超声内镜不受消化道气体、脂肪和骨骼的干扰,更加贴近病变局部以发现局部病变,其敏感度可高达97%,特别在诊断直径<2cm的胰腺癌时敏感性高于CT。因此,超声内镜被认为是目前胰腺癌检查与分期最敏感的技术。

超声内镜的另一优点是对局部淋巴结转移和血管侵犯的准确性较高,能通过细针穿刺(FNA)获得组织病理学的金标准诊断。所以做个超声内镜完全有可能更好更早地发现早期胰腺癌。

目前,市四医院消化内科主任医师毕小刚、张艳带领的医师团队已经熟练掌握了超声内镜技术。该团队常规开展超声内镜检查与治疗有(EUS-FNA、囊肿硬化术、引流术等),期望尽最大努力为易患人群做到早诊断、早治疗,并造福广大人民群众!


参考文献

[1]Chakraborty S, Baine MJ, Sasson AR, eta1. Current status of molecular markers for early detection of sporadicpancreatic cancer [J]. Biochim Biophys Acta, 201l, 1815(1):44-64.

[2]Lochan R, DaLy AK, Reeves HL, et a1. Geneticsusceptibility in Pancreatic ductal adenocarcinoma[J]. Br J Surg, 2008,95(1): 22-32.

[3]Canto MI. Strategies for screening forpancreatic adenocarcinoma in high risk patients[J]. Semin Oncol. 2007, 34(4):295-302.


急救电话:0813-120  预约挂号电话:0813-2401126、0813-2401026 投诉电话:2300337
联系电话(传真):0813-2201981  电子邮箱:zg_120@126.com 咨询电话:0813-2102560

南湖总院:四川省自贡市自流井区紫薇路1331号  檀木林院区:四川省自贡市自流井区檀木林街19号 汇东院区:四川省自贡市自流井区丹桂大街400号
办公时间:上午8:00-12:00,下午14:30-17:30(周一至周五,节假日除外)

蜀ICP备13006683号-1Copyright © 2002-2026 四川省自贡市第四人民医院 自贡市急救中心 四川卫生康复职业学院附属医院 All Rights Reserved