复杂跟骨骨折手术治疗的新选择:机器人辅助下微创内固定术

时间:2023-11-07 浏览量:3761 来源: 作者:徐练

近日,市民程某因不小心从高处坠落致伤,导致其右足跟部剧烈疼痛、肿胀,无法下地站立及行走。这不仅给他的身体带来了巨大伤痛,也给他的日常生活造成了极大的不便和困扰。为了寻求治疗,程某来到了市四医院骨科中心就医,经过我们仔细查体及拍片后诊断为:右跟骨粉碎性骨折。那么什么是跟骨骨折呢?对于这种疾病我们又该怎么治疗呢?

众所周知,跟骨是我们人体足弓的重要组成部分,它对我们站立负重及行走功能至关重要。因此,所谓跟骨骨折,顾名思义就是指正常的跟骨骨质结构的连续性或完整性遭到了破坏。它是创伤骨科中十分常见的一种损伤,约占全身骨折的2%,跗骨骨折的60%,常因高能量损伤引起(如高坠伤、汽车挤压伤等),受伤人群主要以青壮年居多。

伤后患者的临床表现主要包括:足跟部肿痛、皮下瘀斑、局部压叩痛、足弓变低平、足跟增宽、足底变长以及伤足不能下地负重等。

按照以往常规的治疗策略来看,少部分未累及关节面或跟骨高度、宽度无明显变化等的简单骨折可选择保守治疗(手法整复及石膏固定制动)。而大部分累积关节面或骨折碎裂、移位明显的跟骨骨折常常需手术治疗,否则患者后期很可能会面临创伤性关节炎、跟骨畸形愈合致创伤性扁平足等风险,从而导致患者出现长期跟部疼痛、穿鞋及行走困难等不良后果,严重影响患者日常生活及工作等。其中,对于关节面严重碎裂移位的复杂跟骨骨折,目前标准的手术方式是通过足跟外侧作一长“L”形皮肤切口行切开复位钢板螺钉内固定术。其优势在于暴露充分,直视下复位,复位效果好,远期并发创伤性关节炎及骨折畸形愈合风险相对较低。

然而,这个方案的缺点也是显而易见的。手术创伤大、出血多、手术时间长,且后期并发伤口愈合不良、皮肤坏死或伤口感染甚至钢板外露等风险较高,严重时引起致残、致畸等灾难性后果,从而给患者带来严重的生理和心理创伤等。

当前,随着科技的发展和医疗技术的进步,微创及精准医疗的理念逐渐成为当今及未来长期的发展趋势。在骨科领域,传统的开放手术必将被逐渐取代。借着这一发展潮流,近期,我院骨科中心引进了全球最先进的骨科手术机器人之一的天玑Ⅱ骨科手术机器人系统,并逐渐应用于脊柱及四肢常规手术之中,给广大骨科患者带来了福音。

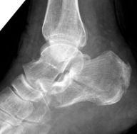
回到前文所述的患者程某,其X线片及CT检查提示其骨折系波及关节面的严重粉碎性骨折,具有明确的手术指征。

但其伤足局部皮肤软组织条件较差,如冒然采用常规开放手术治疗,术后出现上述伤口相关并发症的风险较高。为了能在达到骨折解剖复位的同时,最大程度地避免上述开放手术的风险及潜在并发症的出现,骨科中心全体医师充分讨论、手术专家团队细致规划,最终决定施行机器人辅助下的微创内固定手术。

在骨科中心主任吴超的带领下,团队采用了天玑Ⅱ骨科手术机器人为程某开展了微创手术治疗,该手术时间短、创伤小、出血少、透视次数少,同时实现了骨折块的解剖复位和精准的螺钉置入及固定;术后影像学显示患者关节面完全复位,螺钉位置良好,固定可靠。

 

据悉,本次机器人辅助跟骨骨折微创内固定手术是我院首次、同时也是川南地区首次开展的术式,为复杂跟骨骨折的微创内固定提供了一种全新的手术方式选择。以此为起点,市四医院骨科中心还将继续不断探索和开拓机器人在骨科微创手术领域的新境界,并不断提高我们的医疗技术水平,从而更好地造福于广大骨科患者。

急救电话:0813-120  预约挂号电话:0813-2401126、0813-2401026 投诉电话:2300337
联系电话(传真):0813-2201981  电子邮箱:zg_120@126.com 咨询电话:0813-2102560

南湖总院:四川省自贡市自流井区紫薇路1331号  檀木林院区:四川省自贡市自流井区檀木林街19号 汇东院区:四川省自贡市自流井区丹桂大街400号
办公时间:上午8:00-12:00,下午14:30-17:30(周一至周五,节假日除外)

蜀ICP备13006683号-1Copyright © 2002-2026 四川省自贡市第四人民医院 自贡市急救中心 四川卫生康复职业学院附属医院 All Rights Reserved