3D打印技术微创治疗脑出血

时间:2022-04-23 浏览量:5020 来源:自贡市第四人民医院神经外科 作者:付小花

    高血压性脑出血是高血压病最严重的并发症之一,其年发病率为60~80/10万人,急性期病死率为30%到40%,是急性脑血管病中病死率最高的。

 

近期,自贡市第四人民医院神经外科再次采用了3D打印立体定向抽吸引流技术,精准抽出颅内血肿,挽救了患者生命。

韩先生因突发头痛、左上肢无力被家属紧急送到自贡市第四人民医院神经外科抢救。到医院时,患者双侧瞳孔不等大、对光反应迟钝,左侧肢体对刺痛无反应,颅脑CT显示为右侧基底节区出血。为了给予韩先生及时有效的治疗,尽快的解除血肿对神经纤维传导束的压迫,自贡市第四人民医院神经外科团队将韩先生的数据导入计算机,为其重建面部、颅骨、脑组织及血肿的3D模型,精准计算出了血肿量,计算机设计了最优穿刺入路。在做好充分的术前准备后,神经外科团队在全麻下为韩先生行了3D导板导航下右侧脑血肿引流术,通过3D打印技术制作的手术导板,精准穿刺到达血肿中心位置,顺利地完成手术。手术后复查CT时发现,韩先生的颅内血肿基本被清除。目前,韩先生已康复出院。

 

 

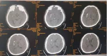
术前定位

 

术中通过3D打印导板精确穿刺抽吸血肿

 

术后复查CT血肿基本清除

近年来,随着3D打印技术的不断发展与升级,3D打印也带动临床医学进入新的发展时代。在神经外科领域,3D个性化定制打印,正在深刻改变神经外科手术方式。利用3D打印技术,可将三维模型直接打印出来,将其应用于脑内血肿穿刺外引流术中,手术误差仅为1-2毫米,可达到精准穿刺的目的。同时简化手术过程,降低手术费用及难度,大大提高手术成功率,减少手术并发症。

 

据自贡市第四人民医院神经外科杨呈浩副主任医师介绍:精准手术是神经外科发展的前沿技术,利用3D打印技术,可以大大提高脑深部手术的精确性。术前的计算机模拟手术,可以更精确地设计手术路线,避让脑内重要的血管和神经,精准置管到血肿腔中心部位,减少手术创伤,提高手术安全性。目前,自贡市第四人民医院神经外科治疗脑出血的的微创手术除了3D打印技术微创治疗外,还常用神经导航辅助下穿刺颅内血肿,通过神经导航的辅助,也可以大大提高颅内血肿清除的准确性。

急救电话:0813-120  预约挂号电话:0813-2401126、0813-2401026 投诉电话:2300337
联系电话(传真):0813-2201981  电子邮箱:zg_120@126.com 咨询电话:0813-2102560

南湖总院:四川省自贡市自流井区紫薇路1331号  檀木林院区:四川省自贡市自流井区檀木林街19号 汇东院区:四川省自贡市自流井区丹桂大街400号
办公时间:上午8:00-12:00,下午14:30-17:30(周一至周五,节假日除外)

蜀ICP备13006683号-1Copyright © 2002-2026 四川省自贡市第四人民医院 自贡市急救中心 四川卫生康复职业学院附属医院 All Rights Reserved