视力下降=眼睛出毛病?眼睛:这个锅我不一定会背!

时间:2022-04-23 浏览量:4463 来源:自贡市第四人民医院神经外科 作者:付小花

“一对流光泛彩的眼睛,瞅着什么的时候异常专注凝神,有一股通人的气势,但并不让人觉得犀利”。关于眼睛,文人笔下有无数种描述,从他们的描述中,我们大概可以想象出这个人的脾性和气质。当心灵的窗户没有了流光泛彩,瞧东西的时候不再看一眼就真切,相信大家都会想到是不是自己的眼睛出了啥子毛病,第一时间赶往医院眼科去看,这个时候眼科的医生通过检查可能就会告诉你,不是眼睛出了毛病,罪魁祸首可能是它——垂体瘤。

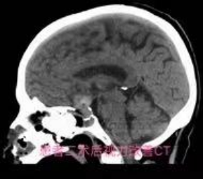
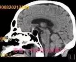
近段时间,自贡四院神经外科收治了几名垂体瘤患者,这几名患者的首要临床表现都是出现视物模糊,看东西重影,第一时间到眼科检查发现不是眼睛的问题,而是颅内垂体长了肿瘤。自贡四院神经外科的医生通过在神经内镜下经蝶鞍区将垂体瘤切除后,患者视力改善,恢复良好。

 

 

 

 

垂体瘤症状主要分为垂体瘤压迫产生的相关症状和激素分泌异常两个部分。因垂体瘤压迫,患者可表现为头痛、视力减退、视野缺损、尿崩、垂体卒中等。激素分泌异常常见于功能性垂体瘤,可表现为相应激素的分泌过多或减少。垂体瘤手术有开颅和微创两种方法。其中,在神经内经下经蝶窦手术采用的微创方法,是目前垂体瘤治疗的主流方式。神经内镜是神经外科一种非常重要的先进技术,内镜使得手术切口更小,脑组织造瘘范围更局限。自贡四院神经外科拥有高清神经内镜设备,有神经内镜专业组,对内镜辅助下的微创手术技术熟练,造福了很多颅脑肿瘤患者。

温馨提示:如果你和你周边的人出现视物迷糊,视力下降等情况,除了考虑是否是眼睛的问题外,还要注意可能是垂体瘤压迫所引起的症状,及时到正规医院就诊。

急救电话:0813-120  预约挂号电话:0813-2401126、0813-2401026 投诉电话:2300337
联系电话(传真):0813-2201981  电子邮箱:zg_120@126.com 咨询电话:0813-2102560

南湖总院:四川省自贡市自流井区紫薇路1331号  檀木林院区:四川省自贡市自流井区檀木林街19号 汇东院区:四川省自贡市自流井区丹桂大街400号
办公时间:上午8:00-12:00,下午14:30-17:30(周一至周五,节假日除外)

蜀ICP备13006683号-1Copyright © 2002-2026 四川省自贡市第四人民医院 自贡市急救中心 四川卫生康复职业学院附属医院 All Rights Reserved