小孩突发头痛也要警惕脑出血!!!

时间:2022-04-23 浏览量:4378 来源:自贡市第四人民医院神经外科 作者:付小花

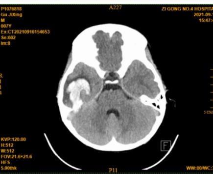
“医生、医生,快看看,我娃儿既没有摔斗,又没有碰斗的,咋子突然的喊脑壳痛,还吐了安?”在自贡市第四人民医院神经外科,一位七岁男孩的家长焦急的询问着。头颅CT发现,这位小朋友是右颞叶脑出血,破溃入蛛网膜下腔。那正如这位家长所说,这个娃娃既然没有磕着碰着,怎么会有脑出血?进一步行头颅CTA检查(一种无创的CT脑血管造影检查),发现右颞一动静脉畸形,原来引起儿童出血的罪魁祸首是---脑动静脉畸形。

 

术前CT

 

术前CTA

在确定病因找到病灶后,自贡市第四人民医院神经外科团队为这位年仅7岁的男孩制定了手术方案,由于患儿有脑内血肿,颅内高压症状明显,在全麻下行了显微镜下右侧颞叶脑动静脉畸形切除术+脑内血肿清除术,术中完整切除了这个血管炸弹后清除了脑血肿,手术顺利,康复出院。

 

 

术中

 

切除下来的畸形血管团

 

 

出院当天的小朋友

儿童脑血管畸形是我国9~18岁青少年突发脑出血最常见的病因,而 9 岁以下的孩子现在在临床上也并不少见。关于动静脉畸形,大家可能有很多问号。

 

 

 

 

 

 

脑动静脉畸形到底是什么,它有怎么样的临床表现呢?

脑动静脉畸形是一种先天性局部脑血管发生学上的变异。在病变部位脑动脉和脑静脉之间缺乏毛细血管,致使动脉与静脉直接相通,形成动静脉之间的短路,导致一系列脑血流动力学的紊乱。好比电流从火线出发后, 如果不经过日光灯,直接和地线连接,就会发生短路,而正常大脑的动脉,也需要经过毛细血管和静脉相连,缺少这样的毛细血管,动静脉就会发生短路,形成动静脉畸形

临床上常表现为反复的颅内出血、部分性或全身性癫痫发作、短暂性脑缺血发作和进行性神经功能障碍,也是引起颅内自发性蛛网膜下腔出血的第二位病因。脑动静脉畸形发生率为动脉瘤的1/7~1/4,男性为女性的2倍,年龄高峰为20~39岁,平均年龄为25岁,60岁以上者不足5%。

 

可通过哪些检查发现?

可通过头部CT检查、数字减影血管造影(DSA)、MRI(磁共振成像)发现。

确诊动静脉畸形,该怎样治疗?

脑动静脉畸形的主要危害为出血和“盗血”颅内或颅外某一血管闭塞后其供应区域由邻近动脉逆流过来的血液代偿供应以致使该正常血管的供应区反而发生血供不足的症状。均可引起严重的后果,治疗的主要方式有开颅切除,介入栓塞,r刀治疗,具体的治疗方式要根据血管畸形的大小,部位,病人的自身情况等综合分析。

预后怎么样?

1.出血率 儿童动静脉畸形趋向于发展增大,出血率也增高;动静脉畸形初次出血后第1年有6%的再出血率,以后每年有2%的再出血率。

2.癫痫发生 以癫痫为首发症状者占17%~40%;发作以局限性者为多,一般与动静脉畸形的部位和类型密切相关,位于颞叶和额叶的癫痫发生率高于幕上的其他部位,额叶以全身性为多,顶叶以局限性为多;手术是患者术后发生癫痫的最重要危险因素。

3.自发血栓形成 极为罕见,单根回流静脉阻塞为动静脉畸形闭塞的主要原因;需注意动静脉畸形虽已闭塞,但仍有可能发生出血,故仍有手术的必要。

4.神经精神障碍 多数动静脉畸形患者在40岁之前出现症状,以出血、癫痫最为常见,可见短暂进行性或永久性神经功能障碍,心力衰竭、脑积水和智力减退甚至痴呆。

5.手术预后 死亡率2%以下,致残率低于10%。

 

温馨提示:如出现不明原因的抽搐、头痛、呕吐、肢体偏瘫等症状,请立即前往正规医院治疗。


急救电话:0813-120  预约挂号电话:0813-2401126、0813-2401026 投诉电话:2300337
联系电话(传真):0813-2201981  电子邮箱:zg_120@126.com 咨询电话:0813-2102560

南湖总院:四川省自贡市自流井区紫薇路1331号  檀木林院区:四川省自贡市自流井区檀木林街19号 汇东院区:四川省自贡市自流井区丹桂大街400号
办公时间:上午8:00-12:00,下午14:30-17:30(周一至周五,节假日除外)

蜀ICP备13006683号-1Copyright © 2002-2026 四川省自贡市第四人民医院 自贡市急救中心 四川卫生康复职业学院附属医院 All Rights Reserved