痛风是一种常见且复杂的疾病,常累计各关节,称为痛风性关节炎,各年龄段均可发病,男性发病率高于女性。
最常发病的关节是大脚趾(医学术语:第一跖趾关节),但发病的关节不限于此,还常见于手部的关节、膝盖、肘部等。
发病的关节最终会红肿、发炎,水肿后组织变软,活动受限,最后影响日常生活。
造成痛风性关节炎的本质原因是体内尿酸水平的升高,造成了尿酸盐在关节部位的沉积。
通常来说,主要原因包括但不限于:
①饮食:吃了太多的肉类和海鲜,畅饮了过多的啤酒之后,人体的尿酸水平升高,就可能造成尿酸盐沉积;
②肥胖:肥胖导致的后果是体内尿酸的增加,肾脏无法彻底清除多余的尿酸;
③服用了某些药物:这些药物会导致体内尿酸水平升高;
④家族史:如果家人患有痛风,那么你患病的概率也会大大增加。
市四医院骨二科郭勇主任医师采用小关节镜微创清理第一跖趾关节痛风结晶,取得了良好的治疗效果。
一起来看看治疗的病例吧~
患者张某因左膝关节、左第一跖趾关节反复疼痛就诊于市四医院,郭勇结合患者既往病史、症状及辅助检查,诊断为痛风性关节炎,建议患者住院行手术治疗。
患者住院后,综合患者术前检查,经科室讨论后制定手术方案为:小关节镜下左侧第一跖趾关节探查+痛风结晶清理术。

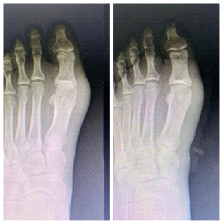
术前X片与术后X片比较

术后外观图像,创口小,恢复快
什么是关节镜手术呢?
关节镜手术一般在皮肤上做2-5个微创的小口,放入比筷子头还细的镜子,通过它检查关节,然后再放入相同粗细的手术器械来解除病变。
有何优势?
和传统手术相比,关节镜手术创伤较小、恢复较快,住院时间短。
目前除了应用于膝关节,其应用范围已经迅速扩大至肩、肘、腕、髋、踝、小关节等关节。
可用于以下症状:
膝关节:
1.急性膝关节损伤(创伤性血肿、交叉韧带损伤、半月板损伤、骨软骨骨折、胫骨平台骨折)
2.机械性紊乱(半月板损伤、盘状半月板损伤、交叉韧带损伤、关节游离体、髌股关节脱位)
3.膝关节疼痛(滑膜皱襞综合征、髌骨软骨软化症、退行性半月板病变、关节内粘连、腘窝囊肿)
4.膝关节炎(骨关节炎、类风湿关节炎、滑膜炎、化脓性关节炎、色素绒毛结节性滑膜炎、滑膜软骨瘤病等)
肩关节:
1.关节游离体
2.肩关节习惯性脱位或半脱位
3.肱二头肌断裂
4.肩袖损伤
5.骨关节炎
6.化脓性肩关节炎
7.肩峰撞击综合征
8.粘连性肩关节囊炎(冻结肩、肩周炎)
踝关节:
1.滑膜炎性疾病
2.踝关节撞击症,包括关节内骨赘
3.踝关节内游离体
4.踝关节软骨损伤,最常见的是距骨软骨损伤的诊治
5.踝关节不稳,包括踝关节外侧韧带复合体损伤的重建
6.踝关节镜下微创融合术(踝关节融合及距下关节融合)
7.踝关节骨折的辅助治疗
8.踝关节僵硬粘连的镜下松解
9.跟骨周围疼痛
以及一些全身各小关节的病变