1月8日,自贡市第四人民医院肝胆外科成功完成一例儿童罕见巨大复杂肝恶性肿瘤切除手术,手术顺利,患儿已在康复中。
来自四川宜宾的13岁女孩乐乐(化名),体重60斤,去年7月中旬在当地医院检查发现肝内巨大肿瘤。
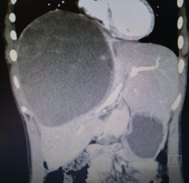
由于肿瘤巨大,压迫肝脏主要血管并侵犯膈肌,辗转多家医院都被告知,进行手术切除治疗风险巨大。
几乎绝望的乐乐一家人,最后经多方了解,决定来自贡市第四人民医院接受手术,以挽救孩子的生命。
市四医院肝胆外科团队进行了详尽的术前讨论,制定了周密严谨的手术计划,拟对患儿施行前入路右半肝切除术,把可能出现的各种影响因素均考虑在内,并备有相应预案,尽最大努力保证患儿安全。
在经过周密手术准备和规划后,由肝胆外科主任赖钊指导,副主任医师陈杰主刀,副主任医师赵斌担任一助,历时四小时完成肝脏肿瘤切除手术。切除的肿瘤重达近4斤,手术中出血却不到200ml。

陈杰副主任医师正在给乐乐查体
术后第1天,乐乐转回普通病房继续治疗。
术后病检提示该肿瘤为肝母细胞瘤,这是自贡市第四人民医院肝胆外科成立以来所切除的第一例肝母细胞瘤。
经过肝胆外科医护人员精心治疗护理,乐乐各项生命体征平稳,肝功恢复良好,现已顺利出院。
原来
这就是肝母细胞瘤


关于肝母细胞瘤
一种具有多种分化方式的恶性胚胎性肿瘤。它是由类似于胎儿性上皮性肝细胞、胚胎性细胞以及分化的间叶成分组成。大部分的肝母细胞瘤为单发。
有什么表现呢?
患儿腹部膨隆、体重降低、食欲不振。
偶尔可有恶心、呕吐以及腹痛。
少数病例可见黄疸。
罕见情况下肿瘤细胞分泌HCG,导致青春期早熟、出现阴毛、生殖器增大以及声音变粗,多发生于男孩。