脸肿?手肿?或许需要医生神助攻

时间:2023-07-31 浏览量:2218 来源: 作者:颜波 曾丽梅

    血透的肾友们,是否有这样的困惑?
     
    脸部肿胀,

    胸壁、上肢浅静脉显现,

    内瘘侧上肢肿胀、疼痛,

    内瘘侧皮肤淤血、色素沉着,

    内瘘出现瘤样扩张、血管瘤,

    透析时静脉压升高,

    反复动静脉内瘘血栓闭塞......


    出现以上情况

    可能是......

    中心静脉狭窄

    下面小编跟大家科普下血液透析肾友常见的并发症—中心静脉狭窄。


      血透通路是透析患者必不可少的“生命线”,而中心静脉狭窄是血液透析的最为棘手和严重的并发症,可引起严重的临床症状并影响血管通路的使用及其寿命,进而影响透析质量。中心静脉是血液透析患者各种动静脉内瘘回流至心脏的最终通道以及各种中心静脉置管的主要部位,因此通畅的中心静脉对维持良好的血管通路功能至关重要。


     引起中心静脉狭窄的原因?

     1.中心静脉插管
     透析肾友中会有一部分长期使用透析导管透析的肾友,此类肾友的透析导管经由颈内静脉穿刺置入,透析导管尖端深入上腔静脉甚至心脏的右心房中。透析导管作为异物长期放置于血管中会随着心脏的跳动,透析导管不断地刺激血管壁,对血管内膜进行机械性损伤,导致血管内膜炎症反应、内膜增生、纤维化,同时导管表面逐渐形成纤维蛋白鞘,导致管腔狭窄。

     2.动静脉瘘血流量过高

     动静脉瘘建立后,导致了血流动力学变化,血流速度增加,静脉血管承受持续的高流量,大量血液湍流形成,血流对血管壁的剪切力增大,导致血管内膜增生、纤维化,血管内膜功能障碍,抗血小板黏附聚集功能降低等。在静脉转弯部位、分叉部位、瓣膜部位血液更容易形成湍流,此处的血管壁内皮将承受更多血流冲刷的刺激,引起管腔狭窄。

     3.外压性狭窄

     部分患者因自身原因,存在中心静脉邻近组织挤压的情况;例如左侧锁骨下静脉受胸廓、锁骨的压迫,左侧头臂静脉受到胸骨与主动脉弓的挤压。正常情况下,这种外压性的狭窄,不会出现肢体肿胀的情况;但是建立内瘘以后,内瘘带来的高血流量,流经受压狭窄部位后,会受到明显的阻力增加,血管内膜会出现增厚进而加重狭窄,出现肢体肿胀。


      出现了中心静脉狭窄,怎样治疗呢?

      治疗的目的在于缓解症状,维持血管通路的长期通畅,保证血液透析的正常进行。治疗方面首选腔内治疗,球囊扩张狭窄或闭塞段,置放支架达到血管畅通的效果。

      最新动态

      中心静脉尤其是上腔静脉闭塞被认为是透析通路手术中风险最高,难度最大的部分。近日自贡市第四人民医院肾脏内科血管通路组成功为两例中心静脉重度狭窄的血透患者实施中心静脉植入支架手术,术后,两位患者手臂肿胀明显减轻,彻底解决了困扰患者许久的难题。

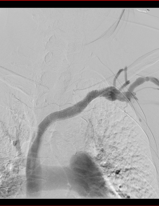
      病例回顾

      老年男性患者,左上肢肿胀1年余。

     经过入院后一系列检查,该患者是左侧头臂静脉外压所致狭窄并闭塞,导致左上肢内瘘侧肢体肿胀明显。

       DAS检查发现应该存在的血管回流通路闭塞了。

           


      经过DSA下PTA扩张及安放VIABAHN覆膜支架,消失的血管重新出现。
  

           

      手术后患者左上肢肿胀明显缓解。

             
         术前
          

      术后

         


       中心静脉狭窄的患者不用愁了,随着DSA下PTA治疗技术及支架的使用,可以有效的缓解患者的症状,改善内瘘功能,从而改善透析质量,为顺利透析奠定坚实的通路基础。


       温馨提示:当透析肾友出现透析时静脉压升高,上肢、脸部、颈部组织肿胀,内瘘搏动异常增强或内瘘局部短时间内出现明显瘤样扩张时,则需要找到专业的通路医生就诊。

急救电话:0813-120  预约挂号电话:0813-2401126、0813-2401026 投诉电话:2300337
联系电话(传真):0813-2201981  电子邮箱:zg_120@126.com 咨询电话:0813-2102560

南湖总院:四川省自贡市自流井区紫薇路1331号  檀木林院区:四川省自贡市自流井区檀木林街19号 汇东院区:四川省自贡市自流井区丹桂大街400号
办公时间:上午8:00-12:00,下午14:30-17:30(周一至周五,节假日除外)

蜀ICP备13006683号-1Copyright © 2002-2026 四川省自贡市第四人民医院 自贡市急救中心 四川卫生康复职业学院附属医院 All Rights Reserved