|
|
快来围观!!!心血管内科又一利器,助力冠心病精准治疗时间:2022-04-28 浏览量:1624 来源: 作者:快来围观!!!心血管内科又一利器,助力冠心病精准治疗
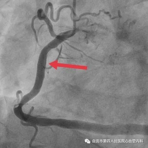
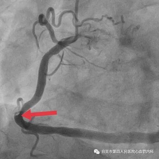
作者:汤勇 自贡市第四人民医院心血管内科引进又一利器“冠脉内超声检查(IVUS)”,助力冠心病精准治疗,目前我国冠心病发病率呈现一个高发的态势,冠心病的发病年龄也呈年轻化的趋势,20-30岁的人群发生急性心肌梗死也不少见。 ![]() 冠脉完全闭塞导致心梗 ![]() 急诊手术成功开通血管 药物加冠脉支架治疗是治疗冠心病的常规治疗手段,我们通常选择冠脉造影对患者的冠状动脉血管检查,由于冠脉造影显示的血管图像是二维图像,并不能完全真实地反映患者冠脉病变的实际情况,有可能造成不必要的支架植入,判断支架的大小完全依赖经验与造影图像,也有可能造成支架大小,长度选择不当。 ![]() ![]() 为了更精准对冠心病患者治疗,优化支架植入,减少支架植入的并发症的发生。 ![]() IVUS图像 ![]() 造影显示需要支架治疗 我院引进了美国波科公司的冠脉内超声检查(IVUS)检查设备,对患者的冠状动脉进行实时检查,为临床医生在对冠心病患者是否需要支架治疗,支架合理应用提供更为准确得信息。 ![]() 我们有一位患者在西昌某院因心肌梗死,行右冠状动脉支架治疗,当时冠脉造影检查提示右冠状动脉支架有一重度狭窄,建议择期再行支架治疗,患者慕名来我院来进一步检查。从冠脉造影的情况确实需要进行支架治疗,由于患者年轻,已安置支架4枚,故决定对患者进行冠脉内超声检查(IVUS)检查。 ![]() 支架局部膨胀不全 ![]() 冠脉内超声检查(IVUS) ![]() 支架直径恢复正常 患者冠脉内超声结果提示管腔面积能够满足心肌血供,且病变邻近血管直径大于5mm,不适合支架治疗。故建议其药物治疗,必要时复查造影。另外该患者造影显示已安置的支架显示膨胀不全的可能,进行冠脉内超声检查后显示支架内有明显膨胀不全的征象,故予以球囊扩张,支架管腔直径恢复正常。 在今后的冠心病治疗上,冠脉超声检查将发挥更大的作用,特别是复杂病变,左主干病变,钙化病变,闭塞病变方面,将大大减少冠脉介入治疗的并发症,再次支架治疗的发生率降低,将大大提高我院冠心病的精准治疗水平。 ![]() ![]() |
急救电话:0813-120 预约挂号电话:0813-2401126、0813-2401026 投诉电话:2300337
联系电话(传真):0813-2201981 电子邮箱:zg_120@126.com 咨询电话:0813-2102560
南湖总院:四川省自贡市自流井区紫薇路1331号 檀木林院区:四川省自贡市自流井区檀木林街19号 汇东院区:四川省自贡市自流井区丹桂大街400号
办公时间:上午8:00-12:00,下午14:30-17:30(周一至周五,节假日除外)
蜀ICP备13006683号-1Copyright © 2002-2026 四川省自贡市第四人民医院 自贡市急救中心 四川卫生康复职业学院附属医院 All Rights Reserved