|
|
自贡市第四人民医院心内科团队完成DragonFly经导管二尖瓣夹系统上市后全国首批植入时间:2024-05-13 浏览量:1572 来源: 作者:
2024年4月29日,自贡市第四人民医院心内科团队在四川大学华西医院陈茂教授的指导下,顺利应用国产经导管二尖瓣缘对缘修复器械DragonFly?挑战一例高龄高危、心律不齐合并解剖条件不佳的高难度TEER(二尖瓣缘对缘修复)手术,完成该器械上市后全国首批植入。
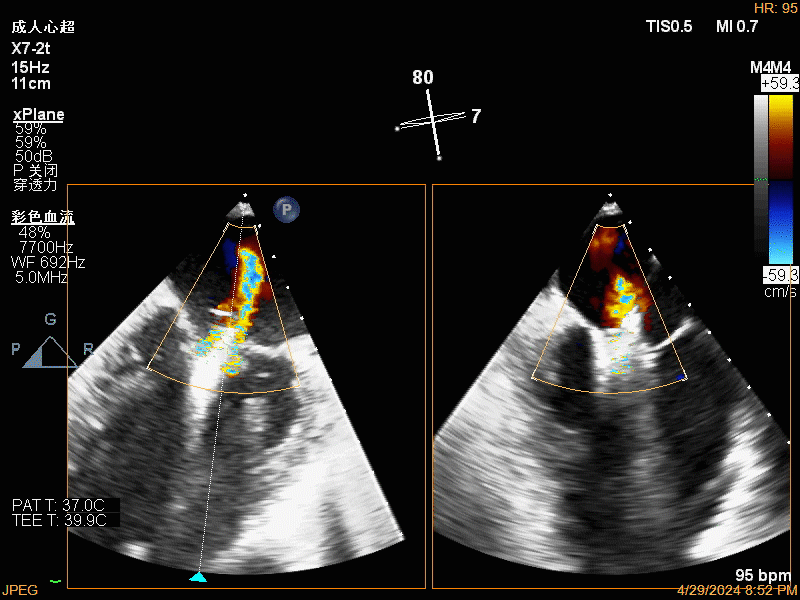
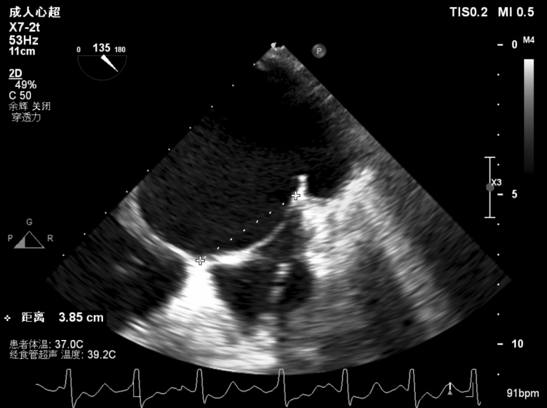
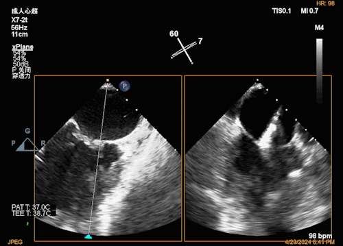
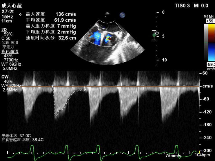
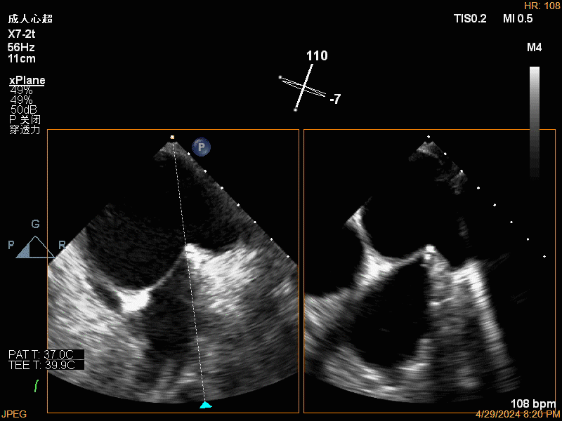
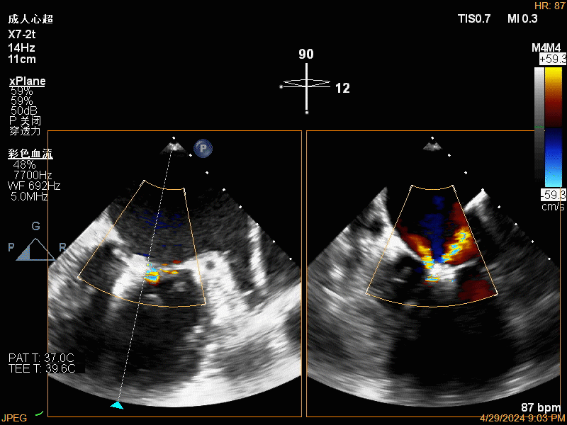
团队在反流最严重的2区精准植入1枚二尖瓣夹,即刻反流下降至微量,血压即刻上升20mmHg,跨瓣压差不升反降,由3mmHg降至2mmHg,改善效果明显,手术仅耗时一个半小时。 这是时隔四年继2020年指导开展区域内首例TAVR(经导管主动脉瓣置换)手术之后,陈茂教授再次带领华西团队,指导开展内自同城区域首例TEER术。陈茂教授对四院心内科心超图像的采集、房间隔穿刺的技巧、手术流程细节的把握、团队的默契配合、术前术后的管理表示称赞,鼓励四院心内科再接再厉造福区域患者。 患者为71岁老年女性,反复出现心累、气促已经超过10年,10多年来心衰的症状逐渐加重,间隔时间越来越短,且近1个月来已经3次因心衰住院,本次住院前已经无法耐受缓慢步行、如厕等日常生活,BNP超过了3000ng/ml。心电图为房颤,心超示左心室明显增大(65mm),重度二尖瓣反流(4+,CarpentierI+IIIb型),射血分数仅为31%。前叶长度:2.27cm且瓣尖增厚,后叶长度:1.14cm且局部钙化,瓣口面积:4.08cm2,反流宽度:1.7cm。患者及家属均拒绝外科开胸手术。 难点: 1.食道超声下该患者房间隔较厚较韧,且粗测高度仅为4.0cm,对穿刺的位置和技巧有较高要求; 2.左心扩大,反流宽度约17mm,放一个夹子可能不能有效解决反流,如放两个夹子需side by side 平行放置,但放置两个夹子有术后狭窄的风险; 3.前后叶对合似有间隙,若选用长宽夹子,会增加瓣叶张力,有瓣叶撕裂的风险,若选用短宽夹子,其捕获瓣叶的难度将增加; 4.患者心功能极差,手术需稳、准、快,不能耐受任何并发症风险。 影像资料 房间隔穿刺
![]() ![]() 瓣上瓣膜夹位置调整
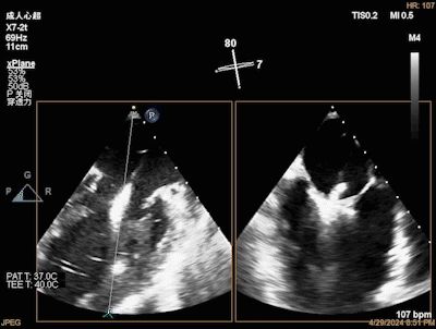
![]() Orientation
![]() Trajectory 瓣下抓捕
![]() 瓣下抓捕
![]() 关闭夹子 瓣膜夹释放后
![]() 释放后
![]() 在心超、麻醉、导管室、中心ICU等多学科团队协作下,手术顺利,患者恢复良好。罗裕主任评价道:“二尖瓣反流的患者往往药物治疗效果不好,微创介入治疗是不愿接受外科开胸手术患者的最佳选择。TEER手术创伤小,手术时间短,患者恢复快,是造福患者的新技术。国产器械DragonFly?的出现填补了该领域的空白,刻度旋钮式系统使得操作精准流畅,价格较进口器械明显降低,很具有竞争力”。 自贡市第四人民医院心内科是川南首家获得“国家心脏瓣膜病介入中心建设单位”的心血管内科,已独立开展极低体重、极重度压差、极高龄、纯反流、瓣中瓣等各种高难度TAVR术,本次内自同城区域内首例TEER术的顺利开展,必将为学科建设注入新的活力,也标志着自贡四院结构亚专业同城区域内率先迈入新时代。 ![]() |
急救电话:0813-120 预约挂号电话:0813-2401126、0813-2401026 投诉电话:2300337
联系电话(传真):0813-2201981 电子邮箱:zg_120@126.com 咨询电话:0813-2102560
南湖总院:四川省自贡市自流井区紫薇路1331号 檀木林院区:四川省自贡市自流井区檀木林街19号 汇东院区:四川省自贡市自流井区丹桂大街400号
办公时间:上午8:00-12:00,下午14:30-17:30(周一至周五,节假日除外)
蜀ICP备13006683号-1Copyright © 2002-2026 四川省自贡市第四人民医院 自贡市急救中心 四川卫生康复职业学院附属医院 All Rights Reserved