|
|
“旋磨+冲击波”击碎心脏结石!自贡四院心内科联合应用两大武器处理冠脉严重钙化时间:2023-11-24 浏览量:1886 来源: 作者:
近日,自贡市第四人民医院心血管内科介入团队在罗裕主任带领下,再次联合使用旋磨和血管内冲击波导管成功为一例冠脉重度钙化的患者完成血运重建。这已经是近两个月以来,第三例采取该联合技术处理的钙化病例。这一联合技术的运用,为冠脉弥漫、环形、深层钙化的患者带来“心”希望,也标志我科处理复杂冠脉病变能力更上层楼。
![]() 患者情况
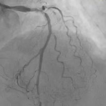
患者74岁,10年前因胸痛诊断为冠心病,在外院放过支架,但当时医生即明确告知家属,血管最严重的“总开关”左主干的地方钙化分叉,处理起来太危险,只是把难度相对不高的血管放了支架。近年来患者间断胸闷、胸痛,伴有心衰下肢肿胀,辗转来我院。冠脉CT显示冠脉严重钙化,因此安排冠脉造影检查。 ![]() ![]() 术前CTA提示左右冠支架术后且左主干重度钙化 (主干没有支架) 冠脉造影
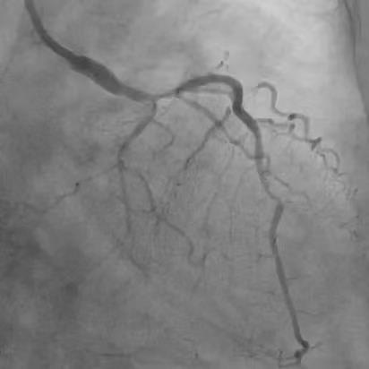
![]() ![]() ![]() 左右冠脉造影:右冠脉支架远段已完全闭塞,旋支远端完全闭塞,前降支中远段重度狭窄,左主干重度钙化分叉。 手术策略
造影结果显示,患者病情十年间进行性加重,三根冠脉主要供血血管已有两支闭塞,尤为严重的是左主干严重狭窄合并钙化,属于棘手的无保护左主干,是外科搭桥手术的绝对适应症!然而,经反复沟通,家属及患者本人坚决拒绝外科开刀。因患者闭塞的右冠和旋支都很细小,开通意义有限;同时,本着与患者及家属 “知情同意、共同决策”的理念,手术团队在罗裕主任的带领下几经慎重考虑,决定在IABP保护下为患者实施左主干经皮冠状动脉介入手术。为减少冠脉缺血时间,暂不用血管内超声(IVUS)评估,而是直接冠脉内旋磨,并根据管腔获得情况使用血管内冲击波技术(IVL)进一步处理。 手术过程
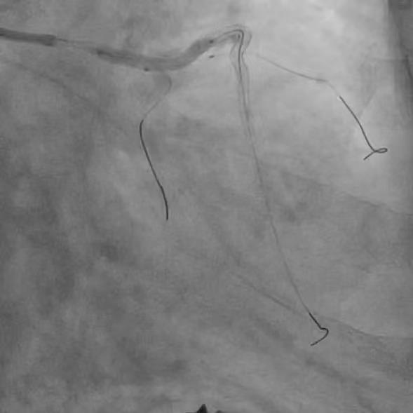
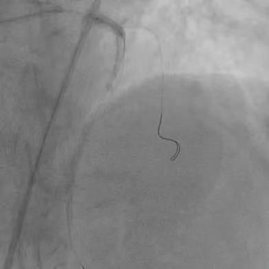
IABP植入后,旋磨导丝顺利经左主干通过病变置于LAD远段,先后使用1.5mm、1.75mm磨头旋磨,而后,在分支均保护的情况下,植入3.0*24mm支架,并选择3.5*12mm NC 30atm行后扩。![]() 先后1.5mm、1.75mm磨头旋磨 ![]() 分支均保护的情况下,3.0*24mm支架植入 然而,虽经NC球囊反复后扩张,左主干支架依然膨胀不良,考虑为钙化厚度过大所致。此时,再行球囊扩张无效、再行旋磨磨头直径不够;为求进一步管腔获得,果断启动Shockwave IVL。为保证IVL球囊与支架及深层钙化紧密贴靠,选取3.5*12mm Shockwave IVL球囊,通过病变后,迅速充盈电解液并扩张至4atm,触发血管内冲击波,每周期10个脉冲、耗时10秒,共行6个周期IVL治疗,之后将脉冲球囊扩张至6atm。复查造影及IVUS,主干最小管腔面积从4.9mm2上升为7.3mm2。随即又在前降支的中远段重度狭窄处顺利植入了2.5*18mm的支架。患者于三天后顺利出院,胸闷症状明显改善,活动耐量显著增加。 ![]() ![]() ![]() 3.5*12mm Shockwave IVL左主干支架内处理前后对比 术者总结
罗裕主任介绍,随着社会老龄化,冠心病合并糖尿病、慢性肾功能衰竭的患者越来越多,冠心病合并钙化的病变也越来越多。此外,自贡被称为“盐都”,高盐重油饮食导致冠脉钙化的发病率较沿海城市明显增加。钙化病变若处理不好,将带来夹层,血栓等严重并发症,处理冠脉钙化最有效的武器就是旋磨和冲击波。◆ 旋磨是利用磨头头端的钻石,以每分钟十多万转的转速,硬碰硬的把血管里的石头磨平; ◆ 冲击波是2021年正式在美国临床应用,2022年5月在国内获批上市应用,跟尿路结石的震波技术类似,它能把石头震松软:电能输送到脉冲发射器,电解质溶液气化,产生的冲击波压强相当于50个大气压,远远超过普通的球囊,从而把钙化带震断裂; ◆ 如果病变的管腔特别小,通过微导管或者血管内超声都困难,就只能先选择旋磨磨出一条通路; ◆ 通过增加磨头的直径,旋磨能解决大部分的钙化病变,但是对于存在旋磨禁忌症,比如:极度扭曲,成角,已经出现严重夹层血肿,绝对不能耐受低复流,且残余管腔比较大的情况,可以考虑冲击波; ◆ 冲击波是目前所有处理钙化的武器中,唯一对深层钙化有效的手段; ◆ 如果冠脉发生钙化的血管直径特别粗,它的钙化可能就会特别厚,即便使用了大的磨头,可能只是把钙化磨的薄了一点,仍不能保证支架能充分膨胀,这种情况下冲击波是唯一有希望的处理手段; ◆ 对于直径超过2.0mm的大直径“环形”钙化,在无法获得更大直径磨头的情况下,冲击波也是唯一有希望的处理手段; ◆ 如果钙化发生在无保护左主干,即便管腔大小能够容纳冲击波,考虑患者无法耐受每次10秒的缺血,可灵活调整每组冲击波持续时间,如每5秒为一组发放冲击波,保证患者生命体征平稳; ◆ 旋磨和冲击波二者不是对立的关系,他们互为补充,缺一不可; ◆ 对于钙化的深度,弧度,长度都特别严重且管腔很小的病变,往往需要先使用旋磨后使用冲击波,组合拳联合出击才能取得满意的效果; ◆ 在使用旋磨和冲击波的时候,如果能结合腔内成像技术(IVUS或OCT)来判断钙化的各个参数以及钙化环是否被打破,可以让手术更加完美; ◆ 当旋磨导丝无法通过或血管过于迂曲、成角时可考虑选择激光(ELCA),但其在重度钙化病变以及钙化结节等中的处理效果并不突出。 专家简介
![]() 罗裕,自贡市第四人民医院,医学博士,主任医师,研究生导师,卫健委冠脉介入基地导师。曾任同济大学附属东方医院冠脉中心院区行政副主任,分院心内科执行主任。是中国介入心脏病大会,东方会,长城会等大会主席团成员。为韩国峨山医学中心访问学者,日本札幌心脏病中心高级访问学者。擅长各种复杂高危冠脉的介入治疗;并在心律失常,心力衰竭,高血压,晕厥,成人先心病及心脏瓣膜疾病等方面亦积累了丰富的经验。发表文章40余篇,其中第一及通讯作者文章21篇,SCI收录10篇;主持了多项上海市卫健委、江西省卫健委、浦东新区课题;主编了《冠状动脉瘤样扩张:从发病机制到临床实践》,参编了《现代心血管病诊疗》、《分子心脏病学》等著作。获国家实用新型专利3项。 |
急救电话:0813-120 预约挂号电话:0813-2401126、0813-2401026 投诉电话:2300337
联系电话(传真):0813-2201981 电子邮箱:zg_120@126.com 咨询电话:0813-2102560
南湖总院:四川省自贡市自流井区紫薇路1331号 檀木林院区:四川省自贡市自流井区檀木林街19号 汇东院区:四川省自贡市自流井区丹桂大街400号
办公时间:上午8:00-12:00,下午14:30-17:30(周一至周五,节假日除外)
蜀ICP备13006683号-1Copyright © 2002-2026 四川省自贡市第四人民医院 自贡市急救中心 四川卫生康复职业学院附属医院 All Rights Reserved