生命通道发生二次“拥堵”?看四医院医生如何“泄洪”!

时间:2025-12-26 浏览量:352 来源: 作者:胡浩

XX女士患有肝硬化多年。一年前,她因消化道出血在外院接受了TIPS手术(经颈静脉肝内门体分流术),本以为就此能摆脱危险,谁知术后仍反复出现黑便,不得不再次接受分流道修复手术,并进行了多次内镜治疗。

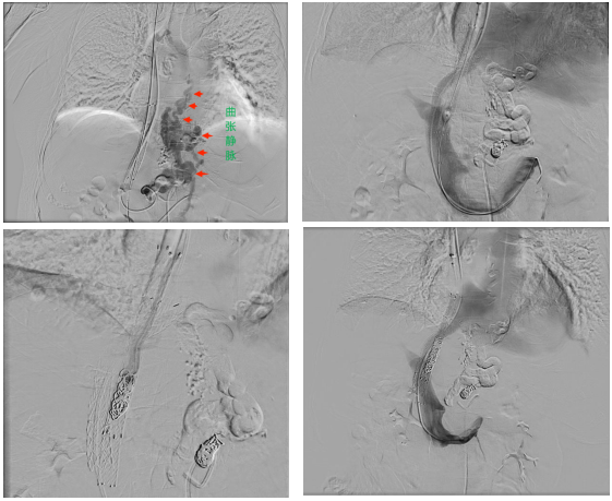
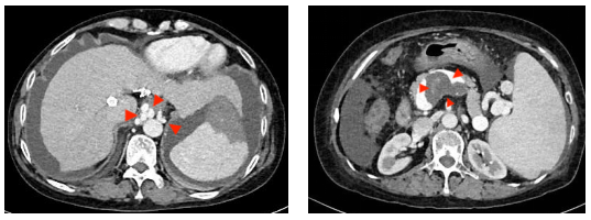
但在一周前, XX女士再次感到腹胀难忍、黑便重现,随即来到市四医院消化内科就诊。医务人员检查发现她存在大量腹水、食管胃底静脉曲张和门静脉血栓——虽然彩超显示原TIPS支架内血流通畅,但结合其病史,医务人员判断:原分流道分流量不足,导致门静脉高压问题没有真正得到解决

图片
图片


图片

什么是TIPS?

为何有些患者术后仍反复出血?

简单来说,TIPS手术就像是在肝脏中搭建一条“泄洪通道”,将高压的门静脉血液分流出去,从而降低破裂出血的风险。它是目前治疗复杂门脉高压的成熟介入手段。

然而,部分患者在术后可能出现“分流道失功”,即这条生命通道因血栓形成、支架内狭窄等原因“堵塞”或“分流不足”,导致门静脉高压无法缓解,患者再次面临腹水、出血等威胁。


图片

一条路不够通畅

医务人员开辟“第二条生命通道”

面对XX女士的复杂情况,市四医院介入团队果断决定实施“平行TIPS”手术。

如果说原来的TIPS是第一条“泄洪道”,那么平行TIPS就是在不拆除原支架的情况下,紧邻其旁,重新穿刺、再建一条新的分流道,相当于为淤堵的“生命之河”开辟一条全新的河道。

图片

手术中,在兄弟科室的全力配合下,介入团队精准测量发现何女士门静脉压力梯度高达26mmHg,证实原通道分流量严重不足。随后,医务人员经肝右静脉成功穿刺门静脉右支,在栓塞严重曲张的静脉后,建立了一条全新的8mm分流道。

术后,门静脉压力梯度骤降至7mmHg。为了避免过度分流加重心脏负担,介入团队又巧妙地利用球囊封堵原分流道后反复测量评估门静脉压力后使用弹簧圈封堵原分流道,最终将门静脉压力梯度控制在14mmHg的理想水平。

术后,XX女士腹胀逐渐缓解,未再出现出血或腹水等失代偿事件

图片

TIPS是治疗门脉高压的核心手段,但分流道功能障碍一直是影响其长期疗效的难题。随着平行TIPS技术的开展,已成为解决分流道反复失功的有效方案。

急救电话:0813-120  预约挂号电话:0813-2401126、0813-2401026 投诉电话:2300337
联系电话(传真):0813-2201981  电子邮箱:zg_120@126.com 咨询电话:0813-2102560

南湖总院:四川省自贡市自流井区紫薇路1331号  檀木林院区:四川省自贡市自流井区檀木林街19号 汇东院区:四川省自贡市自流井区丹桂大街400号
办公时间:上午8:00-12:00,下午14:30-17:30(周一至周五,节假日除外)

蜀ICP备13006683号-1Copyright © 2002-2026 四川省自贡市第四人民医院 自贡市急救中心 四川卫生康复职业学院附属医院 All Rights Reserved