咯血II一个有“颜色”的呼吸科常见急症

时间:2022-04-02 浏览量:3900 来源:呼吸与危重症医学科 作者:周丽萍

科普小课堂



      咯血是指喉及喉部以下的呼吸道任何部位的出血,经口腔咯出。少量咯血有时仅表现为痰中带血,大咯血时血液从口鼻涌出,常可阻塞呼吸道,甚至造成窒息危及生命。

 

 

 

下面和大家分享两名咯血病人的案例:

 

病例1   

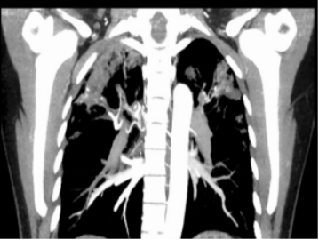
患者王公公,男,78岁,主因“咯血4+天,加重3+小时”于 2021-12-09入院。入院予以止血、对症等治疗。2021-12-09胸部CT、支气管动脉成像:右肺下叶后基底段结节影,考虑周围型肺癌可能性大;支气管动脉成像:右侧支气管动脉稍增粗。

入院经止血治疗后患者未再咯血,但患者咯血考虑肺癌所致,于2021-12-13行电子支气管镜检查。支气管镜下见隆突及右肺上叶前段新生物,局部予以活检,活检结果显示:

最终右肺鳞癌诊断明确,病人后续进行了抗肿瘤治疗,目前治疗效果良好。

 

 

 

让我们一起来看看下一例

 

病例2  

患者张姐,48岁女性,因“咯血15+小时”于2021-12-25入院。入院后立即予以了止血等治疗。

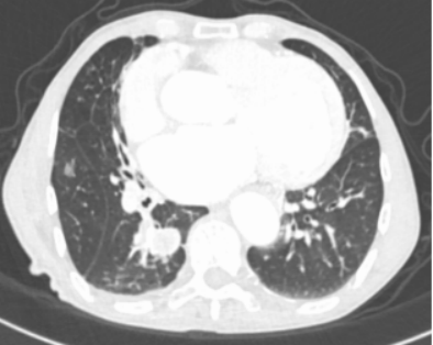
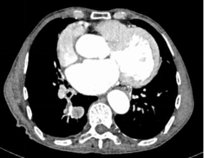
2021-12-26行胸部CT、支气管动脉成像:

1、双肺炎变,右肺上叶空洞形成,考虑继发性肺结核伴空洞形成可能。

2、右肺上叶支气管扩张。

3、右肺上叶支气管动脉增迂曲;主动脉钙化。

      入院经积极药物止血治疗后患者仍反复咯血,考虑支气管动脉畸形所致出血,于2021-12-28在局麻下行支气管动脉造影、栓塞术,术后未再咯血,效果良好。

       从上面两个病例我们可知,咯血是一种非常严重的急症,它可能是肺癌引起的,可能是支气管动脉畸形引起的,我们需要重视它并积极治疗。当然,除了肺癌、肺血管畸形可以引起咯血外,还有其它很多疾病也会引起咯血。

 

 

 

那么咯血的原因有哪些呢?

 

 

01

 

气道疾病(如:支气管扩张、气管支气管结核、原发性支气管癌、慢性支气管炎等)

 

02

 

肺源性疾病(如:肺炎、肺结核、肺脓肿、肺癌、肺含铁血黄素沉着症等)

 

03

 

心肺血管疾病(如:心脏瓣膜病、肺栓塞、肺动静脉瘘、支气管动脉和支气管瘘等)

 

04

 

结缔组织病和血管炎(如:SLE、ANCA相关性肺小血管炎、结节性多动脉炎、肺出血肾炎综合征等)

 

05

 

血液病(如:血小板减少性紫癜、白血病、血友病、DIC等)

06

 

全身性疾病(如:流行性出血热、肺出血性钩端螺旋体病、子宫内膜异位症等)

07

 

药物和毒物相关性咯血(抗凝药(如肝素、华法林)、抗血小板药(如阿司匹林、氯吡格雷)、灭鼠药等)。

-

      很多患者朋友听闻咯血的原因这么多时,内心不免会感到恐惧、害怕。下面小编给各位介绍咯血的相关知识。

 

-

那么咯血的并发症/危害有哪些呢?

 

 

      咯血的并发症/危害主要包括:窒息、肺不张、吸入性肺炎、失血性休克、肺部原本感染加重或继发感染等。其中最严重的并发症是气道阻塞窒息,如不能及时发现和实施有效抢救,患者可能在几分钟内死亡,所以咯血并发症的防治也是至关重要的。

     很多患者朋友一旦遇到咯血会出现焦虑、紧张、恐惧的心理,不敢咳嗽,而这些可能导致肺部淤积的血液堵塞气道引起窒息,所以出现咯血时,我们应放松心态,不要过于紧张,咯出血液,及时前往医院进行救治。

 


 

      

健康生活 关爱自己


       自贡市第四人民医院呼吸与危重症医学科对咯血的诊治具有丰富的经验。就如以上两个案例,对于咯血患者,我们会根据患者的病情采取适合的止血药物进行止血治疗,在治疗的同时积极寻找病因。对类似于张姐这种使用药物止血效果不好的病患,我们可以行支气管动脉造影栓塞术进行止血。当患者未再咯血时,我们还会建议患者进一步完善电子支气管镜检查,排除肺癌、气管/支气管结核等疾病。

今天的科普小课堂就到这里啦!更多精彩内容请关注自贡市第四人民医院呼吸与危重症医学科视频号、抖音账号。

 

急救电话:0813-120  预约挂号电话:0813-2401126、0813-2401026 投诉电话:2300337
联系电话(传真):0813-2201981  电子邮箱:zg_120@126.com 咨询电话:0813-2102560

南湖总院:四川省自贡市自流井区紫薇路1331号  檀木林院区:四川省自贡市自流井区檀木林街19号 汇东院区:四川省自贡市自流井区丹桂大街400号
办公时间:上午8:00-12:00,下午14:30-17:30(周一至周五,节假日除外)

蜀ICP备13006683号-1Copyright © 2002-2026 四川省自贡市第四人民医院 自贡市急救中心 四川卫生康复职业学院附属医院 All Rights Reserved