这个“肺炎”不简单!

时间:2022-03-29 浏览量:2622 来源:呼吸与危重症医学科 作者:周亚玲

关于这个肺炎,我跟大家分享一个故事

 


 

  65岁邱婆婆,主因咳嗽、咳痰2+来我科住院,主要表现为2+月前,受凉后出现咳嗽,咯少许黄白色粘痰,伴心累、气促,无畏寒、发热及胸痛、盗汗、喘息,病初患者未引起重视,自购药物服用,症状持续加重无缓解,后于当地医院予以输液治疗7天,上述症状无好转,遂入我院。

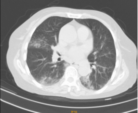
一、胸部CT:双肺散在小斑片密度增高影,以双下肺、右肺中叶为甚,边缘模糊。颈根部、纵隔内多发淋巴结,部分肿大,大者位于气管隆突下。

二、支气管镜检查:隆突基底部增宽;左主支气管下端局部粘膜充血、糜烂,触之易出血;右中叶支气管口粘膜可见一肉芽样隆起。在左主支气管下端及右中叶支气管口分别钳取活检并刷片送检,在左主支气管下端灌洗送检。

 

气管镜下病理活检图片:

三、PET-CT(正电子发射型计算机断层仪)结果

 

1、全身多处淋巴结显示,部分增大伴糖代谢增高,符合淋巴瘤表现。(Deauville评分:5分)

2、左肺上叶、双肺下叶斑片、结节影伴糖代谢增高,淋巴瘤浸润可能,请随诊复查。

3、右肺上叶前段、右肺下叶背段小结节,糖代谢未见增高,炎性结节可能;双肺散在慢性炎变。

四、骨髓穿刺涂片未见异常。

最终诊断:结外边缘区粘膜相关组织淋巴瘤 IV期。

  

那啥子叫肺淋巴瘤呢?

 

     淋巴瘤的肺内浸润,是肺内少见的恶性肿瘤,侵犯的主要对象是肺间质和支气管粘膜下组织。侵犯肺间质的淋巴瘤主要是从肺门开始沿支气管、血管间质向外蔓延、扩展,对支气管腔的侵犯较少,很少引起管腔狭窄,对肺泡侵犯主要是肺泡壁的增厚,最终整个肺泡腔被肿瘤组织替代。侵犯支气管黏膜下的淋巴瘤主要是在支气管腔内形成结节样病灶,致管腔狭窄、阻塞,但病变一般较为局限。

 

肺淋巴瘤有哪些症状?

 

    有全身症状及局部症状。全身症状包括不明原因的发热、盗汗、体重下降、皮肤瘙痒和乏力等。局部症状主要为咳嗽、咳痰、呼吸困难、胸痛等。

肺淋巴瘤分型有哪些?

 

   肺淋巴瘤分为4种类型:原发性肺淋巴瘤(PPL)、继发性肺淋巴瘤(SPL)、获得性免疫缺陷综合征相关淋巴瘤(ARL)及移植后淋巴增殖性疾病(PTLD).PPL诊断标准:①影像学显示肺、支气管受累并经病理证实;②影像学无明显肺门或纵隔淋巴结肿大;③无肺及支气管外其他部位淋巴瘤证据;④发病3个月后仍未出现胸外淋巴瘤的征象。SPL相对常见,是指肺外淋巴瘤的肺内浸润,主要由纵隔淋巴结直接浸润或由远处淋巴瘤病灶血行转移至肺部所致。免疫抑制是已知的淋巴瘤的危险因素,肺淋巴瘤在艾滋病(获得性免疫缺陷综合征,AIDS)病人中的发病率>2%,是正常人群的200倍。器官移植后发生淋巴瘤有不同但相关的病理生理学,即与免疫抑制的宿主感染人类疱疹病毒4型病毒有关。    

肺淋巴瘤影像分型有哪些?

 

五种类型:①结节肿块型 ②肺炎肺泡型③粟粒型④间质型⑤混合型

哪些疾病在胸部CT表现得像肺炎一样呢?

 

     胸部CT表现肺炎样改变的非肺炎疾病较多,如放射性肺炎、肺淋巴瘤、肺泡蛋白沉着症、肺结节病、过敏性肺泡炎、肺泡细胞癌、肺结核等。


 

 

 

 

  要治病,诊断是关键,方向对了,路才是对的。

不说那么多了,说得太专业了,咱老百姓也听不懂,简单说就是专业的事交给专业的人来做,四医院呼吸与危重症医学科值得您的信赖!

 

 

 

 

急救电话:0813-120  预约挂号电话:0813-2401126、0813-2401026 投诉电话:2300337
联系电话(传真):0813-2201981  电子邮箱:zg_120@126.com 咨询电话:0813-2102560

南湖总院:四川省自贡市自流井区紫薇路1331号  檀木林院区:四川省自贡市自流井区檀木林街19号 汇东院区:四川省自贡市自流井区丹桂大街400号
办公时间:上午8:00-12:00,下午14:30-17:30(周一至周五,节假日除外)

蜀ICP备13006683号-1Copyright © 2002-2026 四川省自贡市第四人民医院 自贡市急救中心 四川卫生康复职业学院附属医院 All Rights Reserved