关于"肺炎支原体感染",你想了解的都在这里……

时间:2024-10-11 浏览量:2014 来源:呼吸与危重症医学科 作者:唐亮

 关于"肺炎支原体感染",你想了解的都在这里……

自贡市四医院呼吸与危重症医学科 2024年09月19日 12:42 四川

 

 

 

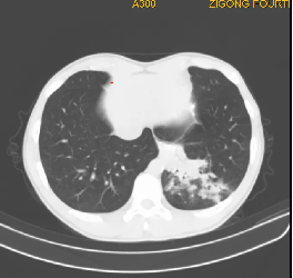
        近日,自贡市第四人民医院呼吸与危重症医学科接诊了一位张大叔,因为咽痛、发热、咳嗽、咯痰5天入院。CT提示左下肺炎,经检查后,确诊为肺炎支原体肺炎,经过治疗,张大叔病情明显好转,可张大叔的爱人—李阿姨就是不让张大叔出院,经过了解,原来是李阿姨担心张大叔出院后会复发、甚至影响家人,要求支原体抗体转阴后才出院。看来,有许多患者朋友对支原体感染相关问题有较多的疑惑,后来科室刘主任耐心给他们进行了相关知识科普,张叔叔才放心的出院了,出院后我们进行电话随访,张叔叔身体康复良好。那么接下来,我们一起来聊聊,“关于肺炎支原体感染”的那些事!

       

 

 

 

 

一、肺炎支原体的存在感!

        支原体感染在人群中较为常见,尤其是在儿童和青年人群中。肺炎支原体感染全年可发,但以北方冬季、南方夏秋季更为多见,每 3~7 年会出现一个流行高峰。5%~30% 的成人社区获得性肺炎是由肺炎支原体感染引起,大多数情况下,支原体感染是自限性的,意味着即使不经治疗也可以自行恢复。然而,少数情况下,支原体感染可能会导致严重的并发症,因此及时的诊断和治疗是必要的。

 

        支原体感染的症状可能包括咳嗽(通常是干咳)、发热、咽痛、头痛、肌肉酸痛等,支原体肺炎则特指肺炎支原体感染累及下呼吸道肺部的疾病。与由细菌或病毒引起的肺炎不同,支原体肺炎的病原体是一种没有细胞壁的微生物,这使得它对某些抗生素治疗无效。

 

 

 

 

二、支原体肺炎的症状

 

1. 轻微到中度的咳嗽,通常伴有黏液或痰。

2. 喉咙痛和声音嘶哑。

3. 头痛、乏力和肌肉疼痛。

 

4. 发热,通常为低到中等程度。

5. 胸痛,尤其是在咳嗽时。

6. 症状通常逐渐出现,可能在感染后数天至数周内发展。

 

三、支原体肺炎的传媒

        支原体肺炎通过飞沫传播,当感染者咳嗽或打喷嚏时,将带有支原体的飞沫传播到空气中,其他人吸入这些飞沫后可能被感染。支原体肺炎在学校、家庭和密闭空间中容易传播。支原体肺炎的潜伏期平均为2.5周,但可以在1至3周内变化。在潜伏期内至症状缓解数周,患者都具有传染性。

 

 

四、如何诊断支原体肺炎呢?

1. 临床症状:医生会根据患者的症状和体征进行初步判断。

2. 实验室检测:包括血液检测、咽喉拭子培养或PCR检测来检测支原体菌。

3. 胸部CT表现:

1)支气管壁增厚:这是支原体肺炎的一个常见CT表现,表现为沿支气管分布的增厚。

2)树芽征:这是由于细支气管和肺泡的炎症导致的,表现为CT影像上的细小、分支状的阴影。

3)磨玻璃影;

4)斑片状、节段乃至大叶性实变;

5)小叶中心结节:;

6)背景磨玻璃(树雾征);

8)胸腔积液;

9)少见影像征象。

 

五、支原体肺炎如何治疗呢?

1. 抗生素治疗:大环内酯类抗生素(如阿奇霉素)是治疗支原体肺炎的首选药物。治疗通常需要持续10至14天,部分难治性病例的疗程可能延长至3周左右。

2. 对症治疗:包括使用退热药物、止咳药物和充足的休息。

3. 充分补水:保持充足的水分摄入,有助于缓解喉咙痛和咳嗽。

4. 避免传播:在感染期间,应尽量减少与他人的密切接触,以防止疾病的传播。

5.耐药支原体感染治疗

 

 

      耐药支原体感染尤其是耐大环内酯类肺炎支原体(MRMP)的感染,已经成为全球关注的公共卫生问题。对于耐药支原体感染的治疗,可以考虑以下替代药物和策略:

1)新型四环素类抗菌药物:由于可能影响牙齿和骨骼发育,通常推荐用于8岁以上的儿童。

2)喹诺酮类抗菌药物:如左氧氟沙星、莫西沙星等,18岁以下儿童使用时需谨慎,并在医生指导下使用。

3)免疫调节剂:在一些情况下,联合使用免疫调节剂可能有助于提高治疗效果。

4)白葡奈氏菌片,可以增强固有免疫和适应性免疫反应。

5)合理使用抗生素。

 

 

 

六、如何有效预防支原体肺炎呢?

1. 良好的个人卫生:勤洗手,尤其是在触摸公共物品后。

2. 避免接触感染者:如果周围有人患有支原体肺炎,应尽量避免密切接触,患者咳嗽或打喷嚏时遮住口鼻、保持室内通风等。

3. 健康的生活方式:均衡饮食、适量运动和充足睡眠有助于增强免疫系统。

    支原体肺炎是一种常见的呼吸道感染,虽然通常症状较轻,但在某些情况下可能会导致严重并发症。了解其症状、传播方式和治疗方法对于及时诊断和治疗至关重要。通过采取适当的预防措施,可以减少感染的风险,如果通过自行处理仍无法缓解,或者出现并发症时,请到自贡市第四人民医院呼吸与危重症医学科就诊,我们将竭诚为您服务。

 

 

 

 

 

 

作者:唐亮

编辑:唐红萍

审核:马升军

 

 

 

急救电话:0813-120  预约挂号电话:0813-2401126、0813-2401026 投诉电话:2300337
联系电话(传真):0813-2201981  电子邮箱:zg_120@126.com 咨询电话:0813-2102560

南湖总院:四川省自贡市自流井区紫薇路1331号  檀木林院区:四川省自贡市自流井区檀木林街19号 汇东院区:四川省自贡市自流井区丹桂大街400号
办公时间:上午8:00-12:00,下午14:30-17:30(周一至周五,节假日除外)

蜀ICP备13006683号-1Copyright © 2002-2026 四川省自贡市第四人民医院 自贡市急救中心 四川卫生康复职业学院附属医院 All Rights Reserved