我院骨科中心完成川南首例机器人辅助舟骨经皮螺钉精准置入术

时间:2024-02-05 浏览量:2066 来源: 作者:邓佳燕

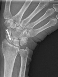
近日,骨科中心主任吴超带领手术团队完成川南首例机器人辅助舟骨经皮螺钉精准置入内固定术;螺钉精准置入骨折线处,仅仅留下0.5毫米的伤口,患者就可恢复正常的手部结构和功能。术后复查X片及CT均显示螺钉位置良好,起到很好的固定作用;患者已在节前康复出院,过上一个幸福快乐的春节。

术中机器人辅助舟骨螺钉置入



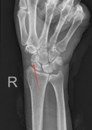
术前X片显示骨折处        术后X片显示螺钉位置良好

舟骨骨折与股骨颈骨折、小腿中下三分之一部位的骨折,通称为人体三大比较难愈合的骨折部位。对于骨折端异位的患者,必须通过对齐骨折线创造骨折愈合条件,否则容易导致舟骨骨折断端不愈合,甚至出现舟骨坏死的情况。机器人辅助的经皮舟骨螺钉内固定能在极小的创伤下,帮助舟骨骨折端精准地对齐和固定,避免保守治疗不愈合的风险和常规手术创伤的危害,达到较好的治疗效果。

市四院骨科中心将从患者的需求出发,不断探索和应用先新的数字骨科技术,努力提升医疗服务质量,让患者获得更好的就医体验。

急救电话:0813-120  预约挂号电话:0813-2401126、0813-2401026 投诉电话:2300337
联系电话(传真):0813-2201981  电子邮箱:zg_120@126.com 咨询电话:0813-2102560

南湖总院:四川省自贡市自流井区紫薇路1331号  檀木林院区:四川省自贡市自流井区檀木林街19号 汇东院区:四川省自贡市自流井区丹桂大街400号
办公时间:上午8:00-12:00,下午14:30-17:30(周一至周五,节假日除外)

蜀ICP备13006683号-1Copyright © 2002-2026 四川省自贡市第四人民医院 自贡市急救中心 四川卫生康复职业学院附属医院 All Rights Reserved