俗话说痔疮不是病,疼起来真要命!这话点都不假,痔是最常见的肛肠疾病,素有“十男九痔”、“十女十痔”的说法。痔疮的诱发因素很多,主要诱因:便秘、长期饮酒、进食大量刺激性食物、久坐久立等
痔疮患者,多是因不良生活习惯,尤其是排便习惯不好导致,但现在微创手术治疗可减轻患者痛苦。
治疗方法
透明帽辅助内镜下痔疮硬化术(CAES),是一种利用透明帽辅助内镜治疗内痔、直肠黏膜脱垂等病变的新型内镜下微创治疗手段。


到底什么是内痔治疗?
内镜下内痔治疗是一种新型治疗方法,常规肠道准备,在减轻痛苦下行全结肠检查后,在透明帽辅助下充分暴露视野,在痔核区域内逐个进行靶点注射硬化,整个过程大约30分钟,如发现息肉可一并行内镜下息肉切除治疗。

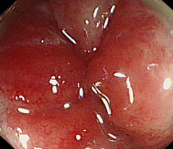
术前

术中

术后
传统外科手术效果好,但术后肛门疼痛体验让很多患者望而却步,现在市四医院消化内科的内镜下微创治疗,可减少肛门疼痛,并且还可以一次性完成肠镜检查、治疗哟!
关于痔疮
目前认为内痔(Internal hemorrhoid)是肛垫(肛管血管垫)的支持结构、血管丛及动静脉吻合支发生的病理性改变或移位。
外痔(External hemorrhoid)是齿状线远侧皮下血管丛的病理性扩张或血栓形成。
混合痔(Mixed hemorrhoid)是内痔和外痔混合体。
直肠脱垂是指直肠粘膜、直肠全层、肛管甚至部分乙状结肠向下移位,脱出肛门处的一种疾病。
症状:可引起出血、脱垂、疼痛、血栓形成、粘液分泌、瘙痒、排便异常等。
痔疮分期:
Ⅰ期:以无痛性便血为主要症状,无内痔脱出,便后出血可自行停止。
Ⅱ期:便时带血、滴血或喷射状出血,伴有痔核脱出,便后可自行回纳。
Ⅲ期:便时带血或滴血,伴内痔脱出,或久站,咳嗽,劳累,负重时内痔脱出,须用手回纳。
Ⅳ期:内痔脱出不能回纳,内痔可伴发绞窄、嵌顿。
CAES适应症:Ⅰ和Ⅱ期内痔、部分Ⅲ期内痔、齿状线区长蒂赘生物、齿状线区痔核表面合并的息肉。