超声“新武器”给您的心脏做精准检查
作者:颜艳
时间:2019-01-03
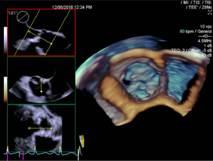
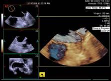
自贡市第四人民医院超声医学科自今年6月开展自贡市首例局部麻醉下经食道超声心动图检查以来,近日,该科又率先在川南开展了局部麻醉下经食道四维超声心动图检查。
患者袁先生,有心脏二尖瓣及主动脉瓣杂音。心血管内科医生怀疑二尖瓣和主动脉瓣瓣膜病。12月5日早上,在超声室行局部麻醉下经食道四维超声心动图检查,清晰显示主动脉瓣重度狭窄,钙化呈功能二叶,排除了二尖瓣瓣膜病变,给临床提供了依据。


此项新技术的开展不仅能克服经胸的肺气、肥胖、胸廓畸形等因素的干扰,还可以更加直观全面准确的诊断疾病,是心脏超声诊断的“新武器”,大大提高了心脏方面的诊断水平。