近日,自贡市第四人民医院神经外科成功完成了两例高难度听神经瘤显微镜下切除手术。

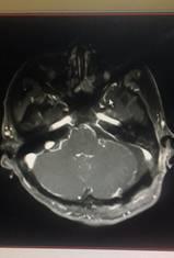
听神经瘤是一种起源于听神经鞘的肿瘤,为良性肿瘤,是常见的颅内肿瘤之一,占颅内肿瘤的7%-12%,多见于成年人。该病症通常早期表现为一侧耳鸣、听力减退及眩晕,少数患者长时间后出现耳聋;肿瘤继续增大压迫同侧面神经和三叉神经可以出现面部抽搐、面部麻木和面瘫;晚期肿瘤压迫脑干、小脑和后组颅神经可引起共济失调、行走不稳、声音嘶哑、饮水呛咳、吞咽困难等,甚至诱发脑积水进而出现颅内高压危急生命。听神经瘤虽然为良性肿瘤,但由于其位置十分危险,因此外科手术治疗的难度和风险极大。
两例手术的患者均为高龄,一男一女,肿瘤一左一右,分别由市四医院神经外科丁昊副主任医师和罗飞副主任医师主刀完成,手术难点多,肿瘤与重要神经即使在显微镜下也很难精确分离剖析,这很考验手术者耐心,其中一例手术耗时长达9个多小时。
经过两位主刀医师和医疗团队的艰苦奋战,两名患者手术成功,目前病情已稳定,无明显的面瘫加重等表现。


术前 术后


患者术后恢复
神经外科完成的两例听神经瘤手术中肿瘤位置在颅脑深部的桥小脑角区,该区域与负责我们人体的听力、面部感觉、闭眼活动、发声、吞咽、耸肩等活动相关的颅神经关系十分紧密,与面神经粘连在一起,特别是还与号称“外科手术禁区”和“生命中枢”所在的脑干紧密粘连,手术既要尽量全切肿瘤又要保护以上重要神经和结构,加之患者高龄,肿瘤体积大,手术风险和难度较普通听神经瘤手术高的多。
此类手术通常需要具有很高显微外科操作技巧和临床经验的高年资神经外科医师在显微镜下经历长时间的精细手术操作才能完成,同时该手术还需要神经导航、神经电生理、自体血液回收装置、显微磨钻系统等先进的一套医疗设备和外科、麻醉科、手术室一套强大的医疗团队配合才能完成,对于医院的硬件设施水平和专业团队技术水平有很高的要求。